Professor Titular da USP
Implantologia
O QUE É UM IMPLANTE DENTAL?
Os implantes dentarios são confeccionados com precisão em titânio puro, e colocados no osso alveolar para substituir as raízes dos dentes, depois, coroas são proteticamente confeccionadas e colocadas nos implantes para substituir os dentes ausentes. Os dentes perdidos por qualquer motivo podem ser substituídos por implantes.

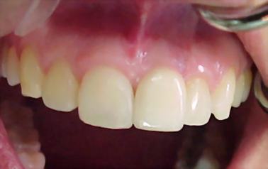
Esta fotografia mostra uma arcada dentária superior onde os dentes e os tecidos gengivais estão perfeitamente normais. Nesta arcada existem dentes e um implante. É possível ao profissional identificar ambos. Contudo, uma reconstrução como essa, onde o osso foi regenerado, após a extração de um dente, pois sua raiz estava perfurada é um sucesso para o paciente, nos aspetos estéticos, funcionais ou mesmo psicológico. Acreditamos ser um sucesso da integração entre as várias especialidades presente na odontologia.

Este esquema mostra uma área sem o dente, onde pode ser inserido um implante. Na segunda fotografia vemos as coroas ponta para serem parafusadas nos implantes. Hoje esses procedimentos são rotinas em nossa clínica. Devolvendo estética e função aos pacientes.
Implantar refere-se à transferência de um material para dentro de um sistema biológico. Os implantes dentários é o termo usado atualmente para descrever a ancoragem de materiais aloplásticos nos tecidos de suporte, maxila e mandíbula, para fixarem próteses dentárias, restabelecendo dentes que foram perdidos.

Estes são os implantes após o tratamento de superfície. A primeira fotografia esquemática seria de um implante Hexágono Externo (HE) dentro do osso maxilar, em seguida são fotografias de implantes com Hexágono Interno (HI) e Cone Morse (CM), com o formato cônico.

Estes são os três tipos básicos de implantes dentários conforme sua plataforma: Hexágono Externo, Hexágono Interno e Cone Morse. Estas plataformas apresentam alguns aprimoramentos técnicos, para propiciarem mais segurança para uma osseointegração efetiva e para a colocação precisa dos componentes protéticos. Estas fotografias dos implantes maquinados antes do tratamento de sua superfície.
O objetivo de Nossa Clínica é fazer um diagnóstico correto para indicar o tipo ideal de plataforma do implante a ser realizado. É executar a cirurgia de implante, sem nenhum desconforto para o paciente, e dentro dos mais rigorosos princípios de biossegura, para que ocorra a efetiva osseointegração do implante.
Histórico e evolução dos implantes osseointegrados
No início dos anos 60, P.I. Branemark e colaboradores na University of Goteborg iniciaram o desenvolvimento de um novo implante que, para a função clínica, dependia de uma ancoragem direta no osso – denominada osseointegração. O fenômeno da osseointegração certamente não foi aceito na época.
Experimentos em animais feitos no laboratório de Branemark indicaram claramente que a ancoragem direta do implante ao tecido ósseo seria possível desde que algumas condições definidas fossem seguidas (Branemark e cols. 1969). Isto foi documentado no primeiro artigo clínico que foi publicado poucos anos depois (Branemark e cols. 1977).
0 primeiro pesquisador a demonstrar claramente a osseointegração foi A. Schroeder, da Suíça. Albrektsson e cols. (1981) apresentaram informações sobre uma série de fatores importantes que devem ser controlados para se alcançar a osseointegração do implante. Os principais fatores são:
1. Biocompatibilidade, entre o implante e os tecidos vizinhos, principalmente ósseos.
2. Condições da superfície do implante, ela precisa estar perfeita limpa, descontaminada e estéril.
3. O estado do hospedeiro e do local a ser empatado. A boca do paciente não pode apresentar áreas comprometidas por processos inflamatórios, como periodontite, abscessos e outras doenças degenerativas.
4. Técnica cirúrgica utilizada para instalação do implante, este é um dos aspectos mais importantes a ser considerado.
5. Estudar as condições das cargas aplicadas sobre os implantes após a sua instalação.
Todos estes fatores enumerados necessitam ser controlados simultaneamente para resultar na osseointegração perfeita do implante ao osso alveolar.
Um dos aspectos mais importantes a ser considerado é o local onde os implantes serão instalados e o planejamento da cirurgia a ser realizada. Se o paciente tem osso suficiente, havendo necessidade enxertos de osso têm que ser realizados, o tipo de osso presente, tipo I, II, III ou IV. A quantidade de gengiva aderida ou inserida existente na região e outros fatores anatômicos presentes, como o nervo alveolar inferior, os seios dos maxilares e fossas nasais.
Assim, um planejamento criterioso deve ser feito, pelo profissional ou pela a equipe que irá realizar os implantes.
Atualmente existem muitos recursos a disposição do implantologista, enxerto autógenos, homólogos, ROG e muitos materiais aloplásticos de ótimas qualidades. O mais importante será a indicação correta da técnica a ser empregada.
A fotografia a seguir mostra um corte histológico, de um implante osseointegrado ao osso alveolar.

Figura acima mostra que quando o implante está osseointegrado há 100% de contato entre o osso e o implante e não somente que o implante está fixo no osso, esse contato tende de aumentar nos implantes funcionais na mandíbula. Mostra também osso compacto e esponjoso. Este implante foi realizado há 3 meses. O corte foi corado com toloidina azul, X10.
EXISTEM VÁRIOS TIPOS E MARCAS DE IMPLANTES.

Na primeira fotografia estão três tipos de implantes com hexágono interno. Na segunda, são quatro modelos de implantes com hexágono externo. Estão posicionados com seus respectivos conectores. Nestes conectores, é serão realizadas as coroas sobre os implantes, ou seja, a parte protética do tratamento com implantes.

Esta fotografia mostra um implante sendo colocado no osso alveolar. Esse procedimento deve ser feito com todo rigor de biossegurança para que osseointegração ocorra.
BENEFÍCIOS DOS IMPLANTES DENTAIS

Os implantes se integram aos tecidos ósseos do paciente. Quando osseointegrados suportam os dentes de maneira segura. Os implantes restauram a função e a estética a níveis normais.
Sem dificuldades, dores ou desconforto os pacientes mastigam normalmente e mantêm a dicção normal. Os implantes previnem a atrofia do osso alveolar, impedindo o envelhecimento precoce da face. Os cuidados com os implantes, com referência a higenização, são os mesmos a serem tomados em relação aos dentes.
Muitos pacientes possuidores de próteses totais móveis (dentaduras), ou pontes parciais removíveis, têm substituído essas peças por coroas ou pontes fixas ou mesmo próteses totais, implanto suportadas, com sucesso. Antes dos implantes os pacientes se sentiam essas peças muito desconfortáveis na boca.

Fotografias do livro do Professor Doutor José Bernardes das Neves.
Estas fotografias mostram uma paciente que substituiu uma ponte móvel de extremo livre, no lado superior direito, por três implantes. Após a colocação das coroas, houve uma perfeita recuperação da função e da estética da paciente.
Quando o paciente perde seus dentes ocorre paulatinamente uma atrofia de seus ossos alveolares. Esta destruição do osso é acentuada com o uso das chamadas próteses móveis. Os implantes que substituem as raízes dos dentes perdidos irão também impedir a atrofia dos ossos, nos locais anodônticos.
A preservação dos ossos da face, maxilar e mandibular, impede o envelhecimento precoce da face, pois matem a dimensão vertical do paciente.
Overdentures: O que os pacientes esperam de uma prótese sobre seus implantes? Esperam que sua estética seja satisfatória, o máximo possível dentro de suas expectativas e a função mastigatória restabelecida com conforto.
Os pacientes como já foi mencionado querem ficar livres de suas peças móveis, pontes móveis ou dentaduras.
E, finalmente manter suas estruturas ósseas e de tecidos moles, preservando a estética e mantendo a sua auto-estima.
Para pacientes desdentados totais, que usam dentaduras, hoje se pode indicar as eficientes overdentures, que são próteses suportadas por implantes.

Fotografias do livro do Professor Doutor José Bernardes das Neves.
Nesta paciente foram realizados três implantes inferiores anteriores, para fixação de uma verdenture. Na segunda fotografia a dentadura com os clipes de fixação. Na última a prótese colocada, satisfazendo a estética e função da paciente.
QUANDO USAR IMPLANTES

Quando houver perdas de dentes pôr qualquer razão.
Quando o paciente tiver dor e desconforto com as próteses.
Prevenção da atrofia óssea após a perda de dentes.
Contatos
Rua Visconde de Inhaúma, 590 – conjunto 205. CEP: 14010-100
Localização
Copyright © 2024 | Clínica Sérgio Lima – Todos os direitos reservados